

Permanent, Lifelike Replacement for Missing Teeth in JP Nagar
Dental Implants
Dental implants are the gold standard for replacing missing teeth in Bengaluru. At Rajesh Cosmetic and Implant Dentistry, Dr. Rajesh Panchineni uses precision-guided, minimally invasive implant placement to deliver a permanent solution with a clinical success rate above 98%. Unlike dentures that rest on the gum, implants are anchored directly into the jawbone, restoring complete bite force, preventing bone loss, and giving you a tooth indistinguishable from the natural original.
At a Glance
Sub-services
Explore Treatments
A single missing tooth creates a cascade of problems: neighbouring teeth drift, the opposing tooth over-erupts, and the jawbone beneath begins to resorb. A single implant, a biocompatible titanium post, is placed in the bone socket, allowed to integrate (osseointegrate) over 6–8 weeks, and then crowned with a custom ceramic restoration. The result is a standalone tooth that requires no modification of adjacent healthy teeth, unlike a traditional bridge.
When two or more adjacent teeth are missing, strategically placed implants can support a multi-unit ceramic bridge without involving neighbouring natural teeth. This approach preserves more of your natural dentition while eliminating the unstable bone resorption associated with removable partial dentures. Our treatment planning uses advanced digital imaging to map bone density and determine the ideal position for each implant.
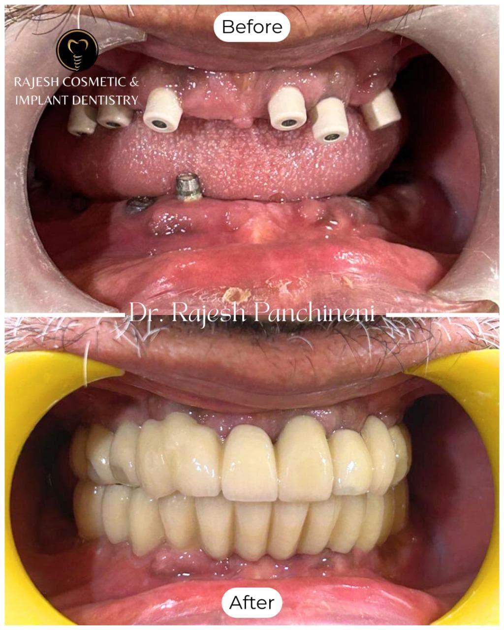
All-on-4 is a revolutionary protocol for patients who are fully edentulous (no remaining teeth) or who require full-arch extraction. Using just four angularly placed implants, we can attach a temporary full-arch prosthesis on the same day as surgery, giving you functional teeth within hours. The final, premium full-arch zirconia bridge is fitted after complete osseointegration, delivering a smile that is fixed, permanent, and requires no removal.
For patients with lower bone density or requiring additional support, particularly in the upper jaw where bone is naturally less dense, the All-on-6 protocol places six implants for superior load distribution. This reduces the per-implant stress, increases long-term stability, and is the preferred option for patients with parafunctional habits like bruxism (teeth grinding).
Patients who have experienced severe bone loss in the upper jaw, often from years of wearing dentures, may be told they are 'not candidates' for standard implants. Zygomatic implants bypass this limitation entirely by anchoring into the dense zygomatic (cheekbone) rather than the maxillary jaw. At ${BUSINESS_NAME}, we are among the select clinics in Bengaluru offering this highly specialised technique, allowing full-arch rehabilitation for patients previously considered ineligible.
In suitable cases, where bone quality and quantity are optimal, we perform immediate load implantation: the implant is placed and a temporary crown is attached in the same appointment. This eliminates the waiting phase and is particularly popular for single front teeth where aesthetics are a priority from day one.
Mini implants (diameter < 3mm) are used to stabilise lower dentures in patients with significant bone loss, or as a transitional solution during full implant treatment. The procedure is minimally invasive, often requires no sutures, and provides immediate denture retention, dramatically improving quality of life for denture wearers.
Insufficient bone volume is one of the most common barriers to implant placement. Our team performs autogenous bone grafts (using your own bone), xenografts (bovine-derived), and allografts to rebuild the ridge. For implants in the upper back region, a sinus lift procedure elevates the sinus membrane to create the bone height required. These preparatory procedures are performed at the same clinic, streamlining your overall treatment timeline.
For patients who prefer a removable option with significantly more stability than conventional dentures, implant-retained overdentures (typically supported by 2–4 implants with locator attachments) offer the perfect middle ground. The denture snaps firmly onto the implants, eliminating movement and dramatically improving chewing efficiency and confidence.
Single Tooth Implants
A single missing tooth creates a cascade of problems: neighbouring teeth drift, the opposing tooth over-erupts, and the jawbone beneath begins to resorb. A single implant, a biocompatible titanium post, is placed in the bone socket, allowed to integrate (osseointegrate) over 6–8 weeks, and then crowned with a custom ceramic restoration. The result is a standalone tooth that requires no modification of adjacent healthy teeth, unlike a traditional bridge.
Multiple Implants & Implant-Supported Bridges
When two or more adjacent teeth are missing, strategically placed implants can support a multi-unit ceramic bridge without involving neighbouring natural teeth. This approach preserves more of your natural dentition while eliminating the unstable bone resorption associated with removable partial dentures. Our treatment planning uses advanced digital imaging to map bone density and determine the ideal position for each implant.
All-on-4, Teeth in a Day
All-on-4 is a revolutionary protocol for patients who are fully edentulous (no remaining teeth) or who require full-arch extraction. Using just four angularly placed implants, we can attach a temporary full-arch prosthesis on the same day as surgery, giving you functional teeth within hours. The final, premium full-arch zirconia bridge is fitted after complete osseointegration, delivering a smile that is fixed, permanent, and requires no removal.
Clinical Results & Technology


All-on-6, Maximum Stability
For patients with lower bone density or requiring additional support, particularly in the upper jaw where bone is naturally less dense, the All-on-6 protocol places six implants for superior load distribution. This reduces the per-implant stress, increases long-term stability, and is the preferred option for patients with parafunctional habits like bruxism (teeth grinding).
Zygomatic Implants
Patients who have experienced severe bone loss in the upper jaw, often from years of wearing dentures, may be told they are 'not candidates' for standard implants. Zygomatic implants bypass this limitation entirely by anchoring into the dense zygomatic (cheekbone) rather than the maxillary jaw. At ${BUSINESS_NAME}, we are among the select clinics in Bengaluru offering this highly specialised technique, allowing full-arch rehabilitation for patients previously considered ineligible.
Immediate Load Implants
In suitable cases, where bone quality and quantity are optimal, we perform immediate load implantation: the implant is placed and a temporary crown is attached in the same appointment. This eliminates the waiting phase and is particularly popular for single front teeth where aesthetics are a priority from day one.
Mini Implants
Mini implants (diameter < 3mm) are used to stabilise lower dentures in patients with significant bone loss, or as a transitional solution during full implant treatment. The procedure is minimally invasive, often requires no sutures, and provides immediate denture retention, dramatically improving quality of life for denture wearers.
Bone Grafting & Sinus Lift
Insufficient bone volume is one of the most common barriers to implant placement. Our team performs autogenous bone grafts (using your own bone), xenografts (bovine-derived), and allografts to rebuild the ridge. For implants in the upper back region, a sinus lift procedure elevates the sinus membrane to create the bone height required. These preparatory procedures are performed at the same clinic, streamlining your overall treatment timeline.
Implant-Retained Overdentures
For patients who prefer a removable option with significantly more stability than conventional dentures, implant-retained overdentures (typically supported by 2–4 implants with locator attachments) offer the perfect middle ground. The denture snaps firmly onto the implants, eliminating movement and dramatically improving chewing efficiency and confidence.
Key Benefits
- ✓Prevents jawbone deterioration permanently
- ✓Restores 100% of natural bite force
- ✓No dietary restrictions, eat what you love
- ✓Functionally and aesthetically indistinguishable from natural teeth
- ✓No adhesives, no removal, no slipping
- ✓Protects adjacent teeth, no grinding required
- ✓Proven 98%+ long-term clinical success rate
- ✓Lifetime solution with proper maintenance
Why Rajesh Dental
Dr. Rajesh Panchineni completed advanced implantology training in Germany and has placed thousands of implants across the complexity spectrum, from single crowns to full-arch zygomatic rehabilitations. Operating from JP Nagar, Bengaluru, the clinic uses Nobel Biocare and Straumann implant systems, internationally recognised for their long-term predictability. Our Trios 3 Shape advanced Intra oral scanner, digital planning software, and laboratory partnerships ensure that every step, from diagnosis to final restoration, happens under one roof.
Clinical Results & Technology


Frequently Asked Questions
The cost of a single dental implant in Bengaluru typically ranges based on the implant brand, prosthetic material, and any preparatory procedures like bone grafting. At Rajesh Dental, we use premium international implant systems and provide a detailed, transparent cost breakdown during your consultation. Full-arch solutions like All-on-4 are significantly more cost-effective than replacing each tooth individually.
The procedure is performed under profound local anaesthesia, making it virtually painless during the surgery. Mild soreness and swelling for 2–3 days post-operatively is normal and is easily managed with prescribed anti-inflammatories. Most of our patients report that the experience was far more comfortable than they anticipated.
A single implant typically takes 3–4 months from placement to final crown, allowing time for osseointegration. All-on-4 and immediate-load cases deliver functional teeth on the day of surgery, with the final permanent restoration placed after 4–6 months. Your specific timeline will be discussed during the treatment planning consultation.
Most adults with good general health are candidates. Key factors include adequate bone density, healthy gums, and well-controlled systemic conditions (diabetes, blood pressure). Patients who smoke or have insufficient bone may require additional preparatory steps like bone grafting. We use advanced 3D imaging to assess your bone volume and design a personalised plan.
With proper oral hygiene and routine dental check-ups, titanium implants can last a lifetime. The ceramic crown on top typically lasts 15–25 years. Annual check-ups allow us to monitor the implant health and make any minor adjustments, ensuring the longest possible lifespan.
Both protocols replace a full arch of teeth using a small number of implants. All-on-4 uses four implants, two straight in the front and two angled at the back to maximise use of available bone. All-on-6 adds two additional implants for greater load distribution, making it preferable for patients with bone density concerns or parafunctional habits. Dr. Rajesh will recommend the appropriate protocol after reviewing your diagnostic records.
Ready to restore your smile?
Consult with our specialists to see if Dental Implants is the right treatment plan for your clinical needs.
Call To BookTake the next step
Book a Consultation Today
Targeted Conditions & Areas
Learn more about how we apply Dental Implants to specific clinical presentations and local areas.
